Nếu trước đây, bạn đã từng nghĩ đến làm răng thẩm mỹ nhưng ngại phải mài nhiều răng thật như khi bọc răng sứ thì kỹ thuật này sẽ phù hợp với bạn. Bác sĩ chỉ cần mài mặt ngoài của răng thật, rồi dùng kỹ thuật dán để dán Veneer sứ vào mặt ngoài của răng, nhằm cải thiện thẩm mỹ.
Hình: Veneer sứ với độ mỏng 0.5-0.6mm.
Như vậy, Veneer sứ yêu cầu mài răng khá ít (đối với hệ thống CAD/CAM, Veneer sứ có thể làm với độ dày trung bình là 0.6mm). Vì mài răng ít, nên Bác sĩ có thể bảo tồn được tối đa răng thật và tủy răng (gần 100% trường hợp làm Veneer không cần phải điều trị tủy). Mức độ ê buốt của răng sau khi mài cũng ít hơn rất nhiều so với khi làm mão răng sứ.
· Do bảo tồn mặt trong của răng thật, nên khi làm Veneer sứ , đặc biệt nếu chỉ làm hàm trên, cảm giác ăn nhai của bạn gần như không thay đổi và khác biệt so với ban đầu.
· Ngoài ra, do Veneer sứ khá mỏng, nên màu sắc từ răng thật sẽ ánh ra được bên ngoài, tạo ra được màu sắc tự nhiên và giống răng thật nhất.
 |
 |
| Veneers sứ |
Chụp sứ |
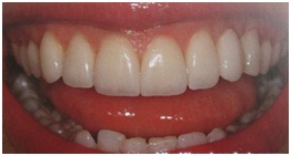
Hình: Veneer sứ có thể chỉnh màu răng theo bất cứ màu nào bạn mong muốn. Từ màu răng tự nhiên theo trường phái của châu Âu, đến màu răng trắng sáng theo phong cách Hollywood của Mỹ, hoặc kết hợp theo hình dạng và màu sắc phù hợp riêng với bạn nhất.
· Kỹ thuật này trước đây cũng đã từng được thực hiện nhiều lần, với vật liệu Composite (thường gọi là đắp mặt răng). Tuy vậy, Composite thường hay đổi màu sau một thời gian sử dụng nên tính thẩm mỹ và độ bền không thể so sánh được so với vật liệu sứ.
Hình: răng đắp mặt và trám nhiều lần bằng Composite sau 3-5 năm sử dụng.
… được thay thế bằng mặt dán sứ Veneer.

Kỹ thuật phục hình Veneer sứ đòi hỏi trình độ và tay nghề của Bác sĩ khá cao, độ chính xác cực kỳ tốt, vì vật liệu sứ chỉ “dán” ở mặt ngoài của răng, nên mức lưu giữ và độ bền củaVeneer sứ sẽ thấp nếu không đạt được những yêu cầu của kỹ thuật đề ra. Mặt khác, vấn đề màu sắc và thẩm mỹ không dễ đạt được đúng như mong muốn, vì bản chất của Veneer sứ khá mỏng, dễ làm ánh màu của răng thật bên trong. Vì vậy, để làm được Veneer sứ thành công, Bác sĩ phải có “tay nghề, trình độ và con mắt thẩm mỹ cao”, hay thường được gọi là “Bác sĩ nha khoa thẩm mỹ” (Cosmetic Dentist).
Làm răng sứ ở đâu tốt? Tại Nha khoa Kim Oanh, với sự hỗ trợ của hệ thống CAD/CAM Inlab MC XL của Sirona trang bị tại chỗ, Labo răng sứ với nhiều kỹ thuật viên kinh nghiệm, hỗ trợ tối đa cho việc làm răng thẩm mỹ, nên kết quả phục hình sẽ được kiểm soát chặt chẽ và thẩm mỹ cao, đáp ứng được những yêu cầu khắt khe của phục hình thẩm mỹ ngày nay.
Một số hình ảnh điển hình về phục hình sứ Veneer:
1) Phục hình thẩm mỹ răng cửa bị mẻ vỡ, thay thế miếng trám Composite vùng răng cửa bằng mặt dán Veneer sứ:
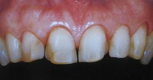
Hình: răng bị chấn thương và bị mẻ vỡ, nhìn từ mặt ngoài (hình trên) và nhìn từ mặt trong (hình dưới)
Hình: sau khi mài và sửa soạn răng để làm Veneer sứ.
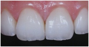
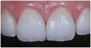
Hình: gắn hoàn tất Veneer sứ. Màu răng đạt được rất tốt và thẩm mỹ. Mặt trong của răng thật được bảo tồn tối đa.
Hình: răng cửa dưới có miếng trám Composite, thường hay bị sút và mẻ vỡ khi ăn nhai.
Hình: răng cửa dưới sau khi tháo miếng trám Composite, và sửa soạn để làm Veneer sứ.
Một răng mọc hướng vào trong
Hình: răng cửa dưới sau khi tháo miếng trám Composite, và sửa soạn để làm Veneer sứ.
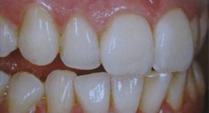
Hình: răng cửa dưới sau khi gắnVeneer sứ nhìn gần (hình trên), và tương quan với các răng thật trên cung hàm (hình dưới). Thẩm mỹ và độ bền đạt được rất tốt. Khi phục hình răng mẻgóc, Veneer sứ có độ bền và thẩm mỹ cao hơn so với trám răng thẩm mỹ bằng Composite.
Hình: Răng bị chấn thương, đã điều trị tủy và đổi màu răng, bọc răng sứ, phục hình bằng Veneer sứ.
Hình: sau khi gắn Veneer sứ, màu răng đạt được rất tốt và thẩm mỹ, ngay cả khi màu răng bên cạnh là răng nhiễm Fluor nhẹ
2) Phục hình răng thẩm mỹ khắc phục tình trạng răng thưa bằng Veneer sứ:
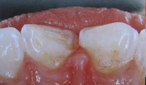
Hình: khe hở giữa các răng cửa, trước khi làm Veneer sứ.
Hình: mẫu hàm sau khi mài Veneer sứ nhìn từ mặt ngoài (hình trên) và từ mặt trong (hình dưới). Những trường hợp răng bị thưa, Bác sĩ chỉ cần mài răng rất ít. Mặt trong của răng thật được giữ lại hoàn toàn, do vậy cảm giác ăn nhai không bị thay đổi nhiều sau khi gắn Veneer sứ .
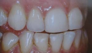
Hình: Veneer sứ sau khi gắn hoàn tất trên lâm sàng. Nếu bạn có làn da sáng màu, và có nhu cầu trang điểm nhiều, thì màu răng trắng như trong hình là lựa chọn thích hợp.
Trường hợp khó hơn, răng thưa và răng sậm màu sau khi điều trị tủy, được phục hình thẩm mỹ lại bằng Veneer sứ:
3) Phục hình thẩm mỹ răng bị thiểu sản men, răng cửa bên dị dạng hình chêm bằng Veneer sứ:
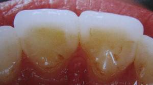
Hình: răng cửa trên bị đục do đắp mặt răng bằng Composite, và răng cửa dưới có bề mặt bị thiểu sản men, chỉ định làm Veneer sứ.
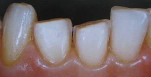
Hình: răng cửa dưới sau khi mài, tiết kiệm mô răng tối đa.
4) Phục hình thẩm mỹ răng nhiễm Flour, răng sậm màu do nhiễm thuốc kháng sinh Tetracycline bằng Veneer sứ
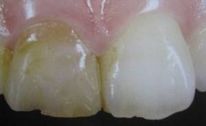
Hình: răng nhiễm Tetracycline, đã từng đắp mặt Composite và bị đổi màu.
Hình: mài và sửa soạn răng thật để làm Veneer sứ.
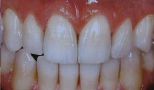
Hình: Mặt dán Veneer sứ, bọc rắng sứ sau khi gắn trên lâm sàng, kết quả đạt được rất tự nhiên, bất kể độ sậm màu của răng nhiễm Tetracycline.
Như vậy, phục hình Veneer sứ có nhiều ưu điểm là không phải mài nhiều mô răng thật, hạn chế ê buốt và ảnh hưởng đến tủy răng tối đa, đáp ứng yêu cầu thẩm mỹ cao.
Hạn chế của phục hình Veneer sứ là không thể chỉnh được vị trí răng nghiêng vào trong (như trường hợp chỉnh răng bị hô). Thời gian hoàn thành Veneer sứ thông thường cũng dài hơn làm mão răng sứ một chút. Ngoài ra, chi phí cao cũng là điều bạn cần phải cân nhắc trước khi quyết định làm mặt dán Veneer sứ.