|
|
|
|
|
|
|
|
|
|
|
|
|
|
|
|
 |
|
|
Tin tức
|
|
|
|
|
Sâu răng - Đừng chủ quan!
17 Tháng Giêng 2013 :: 2:10 CH :: 7928 Views
|
|
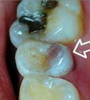
Sâu răng là tổn thương tiêu huỷ cấu trúc vôi hoá chất vô cơ của men răng và ngà răng, tạo nên lỗ sâu trên bề mặt răng và do vi khuẩn gây ra. Tổn thương dẫn đến viêm tủy răng, tủy răng bị chết, viêm hoặc áp-xe quanh cuống răng. Bệnh sâu răng có thể gây vỡ răng, hôi miệng, ảnh hưởng đến thẩm mỹ.
|

Do đâu răng bị sâu?
Sở dĩ bạn bị sâu răng là do sự phối hợp của các yếu tố sau đây: vi khuẩn, chất đường và thời gian, trong đó vi khuẩn luôn có sẵn ở trong miệng tạo thành vi khuẩn chí, đặc trưng ở mỗi người; chất đường có thể tồn tại khoảng 1 giờ ở miệng sau khi ăn các loại thức ăn chứa đường. Do trên bề mặt răng có các mảng bám nên vi khuẩn gây bệnh sâu răng trú ẩn ở đây và có thể gây bệnh sâu răng. Vi khuẩn có thể sử dụng đường có trong miệng để tạo ra các mảng bám răng. Chúng còn biến đường thành chất axit và chất axit này ăn mòn dần các chất vô cơ của men răng và ngà răng, quá trình này tạo ra các lỗ sâu răng. Nhóm người có nguy cơ cao bị bệnh sâu răng gồm: trẻ em có thói quen ăn uống các thức ăn chứa nhiều đường như bánh kẹo, nước ngọt, hoa quả ngọt; trẻ có dị dạng về răng miệng; trong gia đình có bố, mẹ, anh chị em ruột bị sâu răng...
Làm sao biết được bạn bị sâu răng?
Khi bắt đầu bị tổn thương sâu răng, bệnh tiến triển nhưng không tạo lỗ sâu trên bề mặt răng, vì vậy, bạn hầu như không thể biết là mình đang bị sâu răng. Giai đoạn này, tổn thương có khi chỉ là những đốm trắng đục hoặc nâu xuất hiện trên mặt nhai hoặc ở kẽ giữa hai răng. Trường hợp bạn phát hiện được lỗ sâu nhưng lỗ sâu đó còn nông thì cũng không đau đớn gì. Chỉ đến khi tổn thương lỗ sâu đã ăn sâu vào đến lớp ngà răng thì bạn mới thấy hơi đau và có thể bạn vẫn cho qua mà chưa biết là bị sâu răng. Tuy nhiên, nếu bị kích thích bởi các yếu tố như ăn thức ăn quá nóng hay quá lạnh, thức ăn chua, ngọt, khi lỗ sâu tiến sát tủy răng thì tủy răng sẽ bị viêm, bệnh nhân bị sâu răng sẽ ê buốt, đau tủy răng từng cơn. Khi đó nếu không được điều trị, tình trạng sâu răng sẽ diễn tiến nặng nhanh chóng. Nếu đã bị viêm tủy răng có thể dẫn đến hoại tử tủy, gây áp-xe răng. Đối với trẻ em bị nhiễm khuẩn răng sữa, nếu không được điều trị đúng thì nguy cơ ảnh hưởng đến quá trình mọc răng vĩnh viễn là khó tránh khỏi. Nguy hiểm nhất là các trường hợp nhiễm khuẩn răng sữa có thể gây ra nhiễm khuẩn huyết, nhiễm khuẩn lan ra mặt rất nguy hiểm.
Sâu răng có cần dùng kháng sinh?
Khi đã phát hiện bệnh sâu răng, bạn cần đến khám và điều trị tại chuyên khoa răng càng sớm càng tốt. Phương pháp chữa sâu răng thông dụng nhất hiện nay là hàn răng. Bác sĩ chuyên khoa sẽ khoan mở rộng lỗ sâu, nạo sạch ngà đã bị hủy hoại vụn nát, sát khuẩn lỗ sâu và sau đó hàn kín lại. Tuy nhiên đối với các trường hợp răng sâu nặng, không thể hàn bảo tồn được nữa thì bắt buộc phải nhổ bỏ răng đó đi. Kháng sinh được chỉ định đối với các trường hợp bị viêm nhiễm.
Phòng tránh bệnh sâu răng?
Như chúng ta đã biết, bệnh sâu răng tiến triển lâu dài trong vài năm mà không hề có triệu chứng, vì vậy chúng ta cần phải thực hiện các biện pháp phòng bệnh thường xuyên, lâu dài mới mong có kết quả. Các biện pháp phòng bệnh gồm: chải răng 3 lần/ngày vào buổi sáng sau khi ngủ dậy và ngay sau các bữa ăn trưa, tối, nhất là cần chải răng buổi tối trước khi đi ngủ. Mọi người cần biết cách chải răng đúng là: dùng bàn chải lông mềm, chải mặt ngoài, mặt nhai và mặt trong hai hàm răng trên và dưới. Cần chải kỹ rìa lợi và cổ răng. Kem chải răng nên dùng loại có thuốc diệt khuẩn, có fluor và canxi có tác dụng làm cho men răng cứng hơn, để răng có thể chống đỡ với vi khuẩn và axít tốt hơn. Nên dùng chỉ nha khoa để làm sạch kẽ giữa 2 răng như sau: dùng một đoạn chỉ nha khoa dài khoảng 35 - 40cm, quấn chặt vào hai đầu ngón tay giữa chừa khoảng cách khoảng 10cm, dùng hai ngón trỏ căng sợi chỉ, dùng ngón trỏ trái hoặc phải ấn sợi chỉ vào kẽ răng, kéo ngang 1cm để lấy thức ăn còn giắt (nếu có) ra khỏi kẽ răng. Dùng nước súc miệng có tác dụng khử khuẩn để làm sạch toàn bộ kẽ răng mà bàn chải và chỉ nha khoa chưa làm sạch được. Nên khám răng định kỳ 6 tháng một lần để kịp thời điều trị những răng mới bị sâu.
|
|
|
|
|
|
|
|
|
|
|
 |
 |
|
|
Tin khác
|
|
|
|
|
|
|
|
|
 |
|
|
|
|
|
|
|
NHA KHOA KIM OANH
PHÒNG KHÁM CHUYÊN KHOA RĂNG HÀM MẶT
Hotline: 0903 401 489 - 0969 317 489
Cơ sở 1: 283 - phố Đội Cấn P. Liễu Giai- Ba Đình – Hà Nội - Tel: 0968 947 658
Cơ sở 2: 25a, ngõ 42, phố trần bình, mai dịch, cầu giấy, hà nội - Tel: 0969 317 489
Email: nhakhoaleoanh@yahoo.com.vn - leoanhbs@gmail.com
|
THÔNG TIN CẦN BIẾT
|
|
|
 |
|
|
|
|
|
NHA KHOA KIM OANH
PHÒNG KHÁM CHUYÊN KHOA RĂNG HÀM MẶT
Cơ sở 2: 25a, ngõ 42, phố trần bình, mai dịch, cầu giấy, hà nội
ĐT: 0969 317 489
|
|
|
|
|
|