Bạn hãy thử tưởng tượng một chiếc răng khi cần phải nhổ thường là sẽ ở trong tình trạng rất tệ: nhiễm trùng nặng, sưng lên xẹp xuống nhiều lần, và đôi khi chỉ cần đụng nhẹ một chút là bạn đã cảm thấy “khiếp đảm”! Khoa học cũng đã chứng minh là trong tình trạng nhiễm trùng, sưng viêm nặng thì thuốc tê cũng không có tác dụng hiệu quả lắm. Vì vậy mà tại NKLA, nếu không thật sự cấp bách, BS sẽ chỉ định bạn dùng thuốc kháng sinh và giảm đau trước với mục đích giảm sưng viêm, rồi sau đó mới nhổ răng.
Ngoài ra, khi nhổ răng BS sẽ nạy và bắt kềm, mục đích là làm cho xương ổ giãn rộng hoặc thậm chí vỡ xương ổ răng để lấy răng ra, là nguyên nhân chính gây ra đau và sưng viêm nhiều sau khi nhổ. Kỹ thuật ngày nay đòi hỏi BS hạn chế tối thiểu chấn thương và bảo tồn xương ổ răng tối đa khi nhổ răng. Do vậy, BS của NKLA sẽ đề nghị bạn nhổ răng bằng phương pháp tiểu phẫu thuật để hạn chế chấn thương nếu thấy cần thiết, đặc biệt là đối với các trường hợp nhổ răng khó.

Hình: mô phỏng và x-quang của răng bị nhiễm trùng do sâu răng. Khi răng bị sâu và gây ra nhiễm trùng tủy, thần kinh và mạch máu trong tủy răng bị kích thích mạnh, làm tăng cảm giác đau và hạn chế hiệu quả của thuốc tê cũng như thuốc giảm đau, làm cho bạn cảm thấy “đau” nhiều hơn.

Hình ảnh và x-quang răng bị nhiễm trùng, tạo ổ nhiễm trùng ở hàm trên (abcess).
Một số trường hợp nhiễm trùng nặng khác do răng:

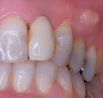
Hình: áp xe ở răng cửa hàm trên. Trường hợp này phải điều trị khẩn bằng cách rạch abcess để thoát mủ.

Hình: áp xe do phục hình răng sứ không tốt, gây viêm và nhiễm trùng tủy răng. Sẽ rất khó giữ lại được một chiếc răng bị nhiễm trùng nặng như vậy.
Ngược lại, khi bạn đến gặp BS để yêu cầu ghép Implant, vùng cần ghép Implant thường ở trong trạng thái bình thường và khỏe mạnh: không tồn tại nhiễm trùng vì răng đã được nhổ và lành thương từ lâu, không có sưng viêm, do vậy sẽ đáp ứng rất tốt với thuốc tê và các loại thuốc giảm đau khác. Ngoài ra, mạch máu và thần kinh tại vùng này cũng đã bị tiêu đi ít nhiều trong thời gian dài bị mất răng, do đó vùng này cũng ít nhạy cảm với đau hơn.


Hình: cấy ghép Implant trước và sau khi phẫu thuật. Vì khi mất răng, mạch máu và thần kinh tại nơi đó sẽ bị tiêu đi, nên việc cấy ghép Implant sẽ ít “nhạy cảm” và cũng ít chảy máu hơn so với khi nhổ răng.
Trong trường hợp bạn nhổ răng kết hợp với cấy ghép Implant trong 1 lần phẫu thuật, trụ Implant sẽ đóng vai trò như một phần của cơ thể bạn trong ổ răng sau khi nhổ, nên thời gian lành thương sẽ nhanh hơn và cũng dễ dàng hơn, vì bình thường thì cơ thể phải tái tạo lại toàn bộ xương bị mất đi khi nhổ răng nên sẽ lâu lành thương hơn.
Khi bạn ghép Implant, BS có thể lật nướu để bộc lộ xương hoặc không lật nướu, từ chuyên môn gọi là lật vạt. Nếu bạn ghép Implant đồng thời phải thực hiện thủ thuật rạch nướu để lật vạt, thì cần phải dành nhiều thời gian để lành thương hơn. Chính thủ thuật này làm cho vết thương lâu lành hơn.
Tại NKLA, đa số với các trường hợp không phức tạp, BS Implant đều đặt trực tiếp, không cần phải lật nướu lên, hoặc chỉ sử dụng đường rạch rất nhỏ. Kỹ thuật này đòi hỏi BS phải có tay nghề, trình độ kỹ thuật và nhiều kinh nghiệm. Vì vậy mà tại NKLA, bạn sẽ thấy ngạc nhiên với kết quả ghép Implant, thời gian đặt Implant, đa phần sẽ “ngoài mong đợi của bạn”.


Hình: cùng cấy ghép 3 Implant, nhưng ở hình bên trái kỹ thuật rạch nướu và lật vạt sẽ gây ra nhiều chấn thương, và thời gian lành thương lâu hơn so với kỹ thuật “không lật vạt” ở hình bên phải.
Như vậy, cấy ghép Implant sẽ “đau” tùy theo từng trường hợp cụ thể, phù hợp rất nhiều vào trình độ và kinh nghiệm của Bác sĩ, thời gian mất răng (tiêu xương nhiều hay ít), và kỹ thuật thực hiện.
Dĩ nhiên, tại NKLA, Bác sĩ luôn dự đoán và nói trước với bạn mức độ và thời gian lành thương trong từng trường hợp cụ thể của bạn trong lần hẹn tư vấn, để bạn luôn có thể chủ động sắp xếp thời gian cho lịch trình của bạn.